社団愛眼会 新潟眼科クリニック
 新潟市中央区西堀通6番町866 NEXT21 1F

目の病気と治療

白内障


白内障とは


目の中の水晶体(レンズ)が濁る病気です 。正常な水晶体は透明で光をよく通します。しかし、様々な原因で水晶体の中身のたんぱく質が変性して濁ってくることがあります。

初期白内障

  • 初期白内障

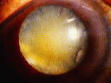
成熟白内障

  • 成熟白内障
  • ※検査用の散瞳剤点眼を使用し、散瞳した状態で撮影しています
  • ※中央よりやや右の白い反射は撮影時のストロボの影響です
眼球断面



手術療法


水晶体の濁りを取り除き、人工の水晶体(眼内レンズ)を移植する手術を行います。したがって、網膜や視神経、角膜などの他の部分に問題がなければ、視力低下の回復が期待できます。

当クリニックでは最新型の超音波白内障手術装置と折りたたみ眼内レンズによる創口が3mm以下の小切開手術をいち早く導入しています。 小切開手術では従来の手術方法と比較して手術後の回復が格段に早くなりました。

麻酔方法も点眼麻酔と前房内麻酔を併用した新しい局所麻酔手技により無痛手術を実現しています。この麻酔方法では麻酔時の痛みもなく、より快適な手術を受けていただくことが可能です。

白内障の進行の具合や他の合併症の有無によって個人差がありますが、通常の場合の手術時間は20~30分程度となっています。


【日帰り手術可能】

当院では白内障の日帰り手術も行っております。ただし、翌日と翌々日の診察が必要ですので御注意ください。 通院が難しい場合は入院される事をおすすめします。詳しくはお問い合わせください。

眼内レンズ手術に必要な検査


手術をうけるにあたって問題がないかどうか、血液の検査、血圧測定などの全身検査や、網膜の働きを調べたり、眼内レンズの度数を決めるための検査が必要です。

全身の状態によっては、手術に支障をきたすこともありますので、現在、治療中の病気などがありましたら、必ず医師に申し出てください。


検査項目


  • ・ 視力検査
    ・ 角膜曲率半径
    ・ 角膜内皮細胞検査 
    ・ 細隙灯顕微鏡検査
    ・ 眼底検査(散瞳検査含む)

     

     ・ 超音波検査(眼軸長検査/断層撮影)
     ・ 網膜電位図
     ・ レチノメーター
     ・ 結膜嚢培養検査
     ・ 眼圧検査

     

     




手術費用



※おおよその標準的な費用。症状等により費用が異なる場合がございます。